logo

905 Roosevelt Hwy. Suite 230, Colchester, VT 05446  802-655-5305

Home Meet the Staff Services Contact Forms
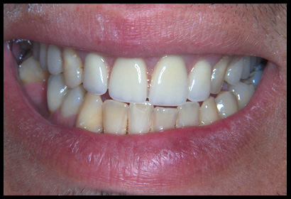
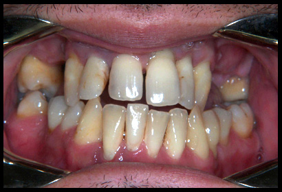
Upper Partial
Before: After:
upperpartial_1 upperpartial_1a